Sanidad
Aragón trata cada año a alrededor de 4.000 pacientes con radioterapia bajo altos estándares de seguridad
Las técnicas de radiación permiten el diagnóstico por imagen y tratamientos de alta precisión como la braquiterapia o la radioterapia intraoperatoria
La planificación, el control de dosis y la supervisión especializada garantizan la seguridad de pacientes y profesionales
El uso de radiaciones ionizantes en el ámbito sanitario es una herramienta clave para el diagnóstico y tratamiento de enfermedades. En los hospitales del sistema sanitario público de Aragón, estas técnicas se emplean de forma habitual en diferentes especialidades médicas, siempre bajo estrictos controles de seguridad. Más de 4.000 pacientes al año se benefician de ellas en la comunidad autónoma.
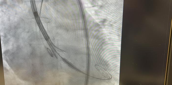
Su aplicación permite obtener imágenes del interior del cuerpo mediante pruebas como radiografías o escáneres, así como guiar procedimientos clínicos en tiempo real mediante el uso de rayos X, lo que facilita a los profesionales visualizar el interior del organismo mientras actúan, por ejemplo, en intervenciones cardiacas o en el tratamiento de cálculos renales, o tratar enfermedades mediante el uso controlado de radiación.
Aragón cuenta con una red de hospitales dotados de tecnología avanzada para la aplicación de estas técnicas, con centros de referencia como el Hospital Clínico Universitario Lozano Blesa y el Hospital Universitario Miguel Servet, que disponen de equipos de alta precisión para el diagnóstico y tratamiento de enfermedades, entre ellos siete aceleradores lineales actualmente en funcionamiento en la comunidad.
Seguridad y control en el uso de la radiación
El uso de la radiación en el ámbito sanitario se realiza bajo estrictas condiciones de control y seguridad, tanto para pacientes, como para profesionales. Los equipos están sometidos a verificaciones periódicas y las instalaciones cuentan con sistemas de protección específicos, como blindajes estructurales y dispositivos de protección individual.
Asimismo, los profesionales disponen de sistemas de monitorización de la exposición, como dosímetros personales, por ejemplo, en formato de anillo o pulsera, que permiten controlar en todo momento los niveles de radiación. Además, utilizan equipos como delantales plomados o protectores tiroideos, especialmente en procedimientos guiados por imagen.
Pedro Ruiz, jefe de Servicio de Radiofísica Hospitalaria del Hospital Clínico Universitario Lozano Blesa
En este contexto, los equipos son sometidos a controles de calidad mediante dispositivos específicos que simulan el cuerpo humano, lo que permite verificar la precisión de las imágenes y de las dosis antes de su uso clínico.
Asimismo, según explica José Antonio Font, jefe del Servicio de Física y Protección Radiológica del Hospital Universitario Miguel Servet, el uso de radiaciones ionizantes en el ámbito sanitario “está ampliamente regulado y sometido a controles periódicos que garantizan su seguridad”, y añade que “la radiación, bien utilizada, es segura y el beneficio para el paciente supera ampliamente cualquier riesgo”.
Medicina nuclear: radiación para diagnóstico y tratamiento
Otra de las áreas en las que se emplea la radiación es la Medicina Nuclear, donde se utilizan pequeñas cantidades de sustancias radiactivas, denominadas radiofármacos, que se administran al paciente para obtener información funcional del organismo o para tratar determinadas patologías.
Estas técnicas posibilitan, por ejemplo, detectar la actividad de determinados tejidos o valorar la evolución de enfermedades mediante equipos como las gammacámaras o los sistemas PET-TC, que captan la radiación emitida por el propio paciente tras la administración del radiofármaco. Esto permite obtener imágenes que muestran cómo funcionan los órganos o tejidos, identificando zonas con mayor o menor actividad, lo que resulta clave para el diagnóstico y seguimiento clínico.
La preparación y manipulación de estos radiofármacos se realiza en áreas específicas del hospital, denominadas radiofarmacia, donde se aplican estrictas medidas de seguridad y control, con sistemas de protección y equipamiento especializado para garantizar su correcto uso antes de la administración a los pacientes.
Radioterapia y braquiterapia: precisión en el tratamiento
En el ámbito del tratamiento, la radioterapia utiliza radiación de alta energía para actuar sobre las células tumorales, mediante una planificación individualizada que permite concentrar la dosis en la zona a tratar y proteger los tejidos sanos. En Aragón, estas técnicas tratan cada año a alrededor de 4.000 pacientes a través de la Unidad Clínica Multihospitalaria de Oncología Radioterápica de Aragón (UCMORA).
Asimismo, la radioterapia superficial se emplea en el tratamiento de tumores cutáneos, con alrededor de 250 pacientes atendidos anualmente mediante este procedimiento.
Dentro de este ámbito, existen diferentes modalidades, como la radioterapia intraoperatoria, que permite administrar la radiación directamente durante una intervención quirúrgica sobre la zona afectada, logrando aumentar la precisión del tratamiento. En la comunidad, cerca de 200 pacientes al año son tratados mediante este tipo de técnica.
Por su parte, la braquiterapia permite administrar la radiación directamente en la zona afectada mediante la introducción temporal de fuentes radiactivas, lo que facilita una alta precisión en el tratamiento. En Aragón, se aplica a unos 90 pacientes al año, en tumores prostáticos y ginecológicos.
Además, cerca de 30 pacientes son derivados cada año fuera de la comunidad autónoma para la realización de braquiterapia intersticial ginecológica en cáncer de cérvix, una técnica cuya implantación en Aragón se encuentra en desarrollo y cuya puesta en marcha está prevista entre este año y el próximo.
La responsable, dentro de la UCMORA, de la técnica de braquiterapia de alta tasa de dosis (HDR) en el Hospital Clínico Universitario Lozano Blesa es la facultativo especialista Carmen Velilla.
Carmen Velilla, facultativo especialista de la técnica de braquiterapia de alta tasa de dosis (HDR) en el Hospital Clínico Universitario Lozano Blesa.
El papel de la Radiofísica Hospitalaria
Detrás de todos estos procedimientos, los especialistas en Radiofísica Hospitalaria desempeñan un papel fundamental en la planificación, control y seguridad del uso de la radiación en el ámbito sanitario.
Su labor incluye el cálculo de dosis, la verificación de los equipos, el control de calidad y la supervisión de las condiciones de protección radiológica en todas las fases del proceso.
Beatriz García Costa, facultativa especialista en Radiofísica Hospitalaria del Hospital Clínico Universitario Lozano Blesa
Se trata de una especialidad sanitaria altamente técnica y, en muchos casos, poco conocida, pero clave para garantizar que estos procedimientos se desarrollen con la máxima precisión y seguridad.
Uso regulado y seguro
El uso de las radiaciones ionizantes en el ámbito sanitario está regulado por normativa europea y nacional, y sometido a controles periódicos por parte de organismos como el Consejo de Seguridad Nuclear.
En Aragón, este marco se aplica a través de una red de profesionales y equipamientos altamente especializados que garantizan un uso seguro, controlado y eficaz de estas técnicas en la práctica clínica diaria.
Todo ello permite ofrecer a la ciudadanía una atención sanitaria basada en la precisión, la seguridad y la incorporación de tecnología avanzada, asegurando el máximo beneficio para el paciente con el menor riesgo posible.


